Cabinet dentaire du Dr Coat
Chirurgien-Dentiste à Bordeaux
Cabinet dentaire du Dr Coat

21 rue Boudet
33000 Bordeaux

Chirurgien-Dentiste à Bordeaux

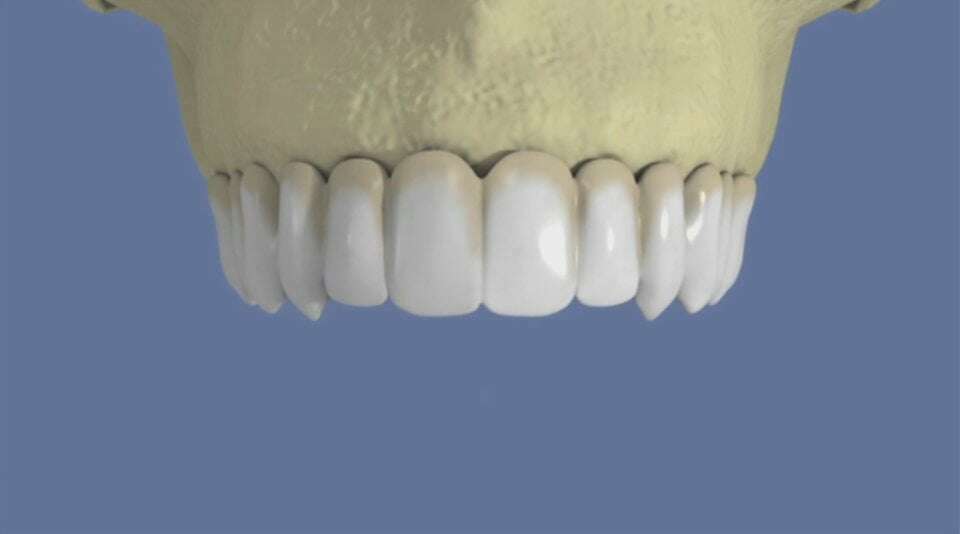
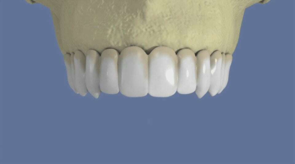
Maxillaire : bridge vissé sans fausse gencive


video-play-icon